Experience Advanced Periodontic Care in Nutley Visit MK Periodontics & Implant Dentistry
Our board-certified periodontist serves Nutley and the surrounding communities in the greater Essex County, New Jersey area.
"I highly recommend MK Periodontics & Implant."
"I was recommended MK Periodontics & Implant in Nutley, NJ. Its state of the art facility and friendly staff makes the experience of going to the dentist pleasant. Dr. Mark Khaimov is friendly, caring, and meticulous about his work. He explained each step of the process and answered all my questions. I’m very satisfied with the service I’ve received and I highly recommend MK Periodontics & Implant." Joada Joissim
No GPS? No Problem Easy-to-Follow Driving Directions
From Newark
- Head towards NJ-21 N
- Follow NJ-21 N to Park Ave in Nutley
- Take exit 8 towards Nutley/Lyndhurst
- Turn left onto Park Ave.
- Turn left onto Myrtle Ave.
- Turn right onto Centre St.
- Our periodontal office will be on your right
From Clifton
- From Clifton Ave., turn right onto Allwood Rd.
- Turn left onto Broad St.
- Merge onto NJ-3 E
- Take the Main Ave. exit toward Nutley/Passaic
- Turn left onto Main Ave.
- Turn left onto Centre St.
- Our periodontal office will be on your left
From Caldwell
- Head northeast toward Bloomfield Ave.
- Turn right onto Bloomfield Ave.
- Continue on Upper Mountain Ave. to Watchung Ave.
- Continue on Watchung Ave.
- Turn right onto E Passaic Ave.
- Turn left onto Centre St.
- Our periodontal office will be on your left
Our State-of-the-Art Periodontics Practice Welcomes You

Looking for a Skilled Periodontist in New Jersey? Contact Our Nutley Practice Today
If your dentist has recommended that you see a periodontist, you need someone with the experience and the tools to help you restore your oral health both safely and effectively. Our Nutley, NJ, practice is fully equipped with the latest dental technology to help provide the best possible care. Our friendly and inviting office ensures you remain relaxed and comfortable throughout treatment.
Mark Khaimov, DDS, is a board-certified periodontist who is passionate about helping his patients restore the health of their teeth and gums when general dentistry is not enough. Many dentists throughout New Jersey recommend our periodontist to their patients.
Contact MK Periodontics & Implant Dentistry in Nutley, NJ, to request your consultation.
(973) 798-2639

We Provide Quality Care and Great Experiences "I had a great experience there!"
Dr. Khaimov is a great periodontist. He was gentle and is great at what he does. I would recommend him to everyone. The office is clean and beautiful. The staff was super nice. I had a great experience there!
View On GoogleThe doctor and all the office personnel are very professional, the place is very clean and the equipment up to date, thank all of them for the service provided
View On GoogleOur Nutley Periodontist's Affiliations
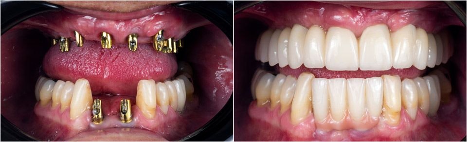
How Our Periodontist Restores Smiles With Dental Implants

Periodontal Services Our Nutley Practice Offers
Laser Periodontal Therapy
The Laser-Assisted New Attachment Procedure (LANAP®) is a laser technology that can help treat gum disease. This FDA-approved laser gently removes diseased gum tissue with little to no discomfort, and spurs the development of healthy tissue. Contact our practice to request your consultation if your gums are swollen, red, or bleeding.
Pinhole Gum Rejuvenation
Pinhole gum rejuvenation is a minimally invasive surgical technique used to treat gum recession. It can often eliminate the need for a gum graft. Gum recession can leave your tooth exposed, causing heightened sensitivity and discomfort. This scalpel-free, suture-free procedure is a quick and effective way to restore the health of your gums.
Gum Grafting
Significant gum recession can be corrected through a gum graft. In this procedure, Dr. Khaimov can cover your exposed tooth roots and enhance the symmetry of your smile.
Dental Implants
Dental implants are titanium posts that can replace missing tooth roots and support replacement teeth. Our experienced periodontist can place your dental implants to help create a beautiful, healthy smile.
All-on-4 Dental Implants
We use the All-on-4® surgical technique to replace an entire row of missing teeth. Rather than having six dental implants placed in one arch, Dr. Khaimov will place four implants at strategic angles to securely hold your new dentures. This procedure is best for patients who do not qualify for traditional implants due to bone atrophy.
TeethXpress
TeethXpress® is a same-day implant that allows patients to have a full set of teeth immediately following surgery. Once we place your dental implants, we will fit you with temporary restorations until the fabrication of your restorations is finalized. You can undergo implant placement and have functioning teeth in just one appointment at our Nutley, NJ, office.
Bone Grafting
Patients who have suffered significant bone loss may need bone grafting before they can undergo implant placement. Dr. Khaimov can perform a bone graft to increase your jawbone's volume, density, and strength so you can undergo tooth replacement with dental implants.
Scheduling and Cancellations
At MK Periodontics & Implant Dentistry, we understand that your time is important, and we do our best to stay on schedule. If you need to change or cancel an appointment, please let us know with enough notice so we can offer that time to another patient. Cancellations without at least 48 hours' notice may result in a cancellation charge.
Payment Options Our Nutley Practice Offers We Want To Help Everyone Achieve a Healthy Smile
Insurance
Our practice accepts most health and dental insurance plans. Our team of experienced insurance coordinators is here to help you answer any questions and ensure you are maximizing your benefits.
Financing
Our practice accepts CareCredit® financing for those without insurance or whose insurance does not cover the total cost. CareCredit breaks your total cost into low-interest or interest-free payment plans, helping you get the treatment you need.
We Care About Our Patients "Dr. Mark and his staff are outstanding."
I want to thank Dr. Mark and his entire staff for being remarkable. They were 100% supportive, informative, and guided me through my entire implant process. I would highly recommend to go here!
View On GoogleDr. Mark and his staff are outstanding. He takes the time to answer all your questions and his staff is very sweet and educated. Very clean office.
View On Google









ij.jpg?w=1000&h=1000&fit=crop&fit=crop&auto=format)



